高松市三谷町の歯医者なら

〒761-0450 香川県高松市三谷町 384-1

診療時間
9:00~12:30 × ×
14:00~18:00 × ×

※祝日週の木曜日は診察しております。
休診日:木曜日・日曜日

ご予約・お問合せはこちらへ

087-814-6600

症例(詰め物による審美性の回復〜コンポジットレジン充填〜)

虫歯で失われた歯質を回復するには、被せる方法と詰める方法があります。

神経の有無、虫歯の部位、虫歯除去後の歯のサイズ等によってどちらかの方法を選択します。

詰める方法の中にコンボジットレジン(歯科用プラスチック)充填という方法があります。

この方法には即日処置が可能、歯質の削除量が少ないという利点があります。

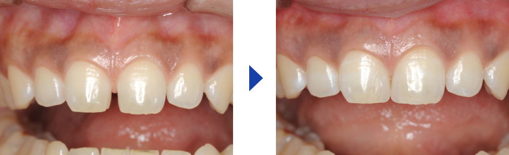
歯の隙間の改善を主訴に来院されました。レジン充填により、審美性の回復を行ないました。

金属色が気になる(黄矢印)との事で来院されました。金属部分を除去し、レジン充填にて回復しました。

歯の変色の改善を主訴に来院されました。古い詰め物の変色なので、充填をやり直しました。

香川県高松市三谷町のマシマ歯科クリニックでは、患者様の状態をしっかりとご説明し、ご要望をお伺いしながら治療方針を決定していきます。

歯の治療でお悩みの方は、お気軽にご相談ください。

※保険診療です。

検診・歯石取り・歯のクリーニング・フッ素塗布などもご予約いただけます。3ヶ月先のご予約もお気軽にどうぞ。

087-814-6600

診療時間

 
午前 × ×
午後 × ×

午前:9:00~12:30
午後:14:00~18:00


休診日:木曜日・日曜日・祝日

087-814-6600

〒761-0450
香川県高松市三谷町 384-1

マシマ歯科クリニックでは一緒に働いてくださる仲間を募集中です!